INTRO

Presume de sonrisa con ayuda de nuestra clínica dental

Mi nombre es Eva y soy fundadora y CEO de Carles Socias desde niña tuve claro que mi destino sería convertirme en dentista... fue con tan solo 10 años cuando empecé un tratamiento de ortodoncia que me cambió la vida, pues desde el momento que entré en la clínica supe que mi destino sería convertirme en dentista.

Así que con tesón, trabajo duro y entusiasmo los sueños se hacen realidad y en 2002 nace Carles Socias con el firme propósito de convertir cada tratamiento en una experiencia inspiradora para que a través de la salud, el cariño y la dedicación, nuestros pacientes (que se convierten en familia) puedan presumir de sonrisa.

Nuestros Valores: Gratitud, Humildad, Felicidad, Bondad, Responsabilidad, Empatía, Persistencia, Cercanía, Lealtad

Eva Carles
Eva Carles - Directora y Fundadora
alternative

¿Qué dicen nuestros pacientes?

La satisfacción de nuestros pacientes es lo más importante para nosotros.
Más testimonios en nuestro canal de YouTube

alternative
Estoy muy contenta con la sonrisa que me han dejado. Son unos estupendos profesionales. Cuando comparo mi sonrisa actual con la anterior hay una gran diferencia. Son muy delicados y meticulosos y lo hacen muy bien.
Olvido Perea
Abrir en YouTube ver en YouTube
alternative
Son mis dentistas desde hace años y tengo una confianza total en el nivel de exigencia que tienen con el resultado de su trabajo. Ahora llevo a mis hijos y no tienen poblema de hacer sus revisiones por el trato que reciben.
Verónica López
alternative
En la consulta Carles-Socias me han cambiado la vida. Me han reconstruido totalmente la boca y se ha notado por fuera, y os puedo asegurar que por dentro. No solo han cambiado mi aspecto físico sino que fundamentalmente mi autoestima. Lo que más valoro es la dedicación que tienen y cómo te cuidan.
Carlos Cuesta
Abrir en YouTube ver en YouTube
alternative
Rating
Muy profesional, utilizan lo último en tecnología, de lo más innovador! Siempre al día, en mejora continua, hacen al paciente sentirse cómodo, además el trato es excepcional y cercano. Gracias a la Doctora Eva mi familia y yo tenemos la boca perfecta, lo recomiendo 100%.
Mariana Losada
Abrir en Google Maps ver reseña
alternative
Rating
Mi familia y yo vamos desde hace años y estamos encantados. Acabo de terminar un tratamiento con invisalign y estoy muy contenta. ¡Lo recomiendo!
Maria Pla
Abrir en Google Maps ver reseña
alternative
Rating
Trato exquisito, gran amabilidad, estupenda atención y trabajo inmejorable. ¡Gracias Eva y equipo!
Carmen María García Camacho
Abrir en Google Maps ver reseña
alternative
Hace años tuve ortodoncia tradicional y el Invisalign es un tratamiento muchísimo mejor. Menos dolor, menos visitas, lo cambias cada semana tú mismo y puedes comer lo que quieras y cuando quieras. Ha sido una experiencia muy positiva.
Álvaro Rodríguez
Abrir en YouTube ver en YouTube
alternative
La consulta más profesional que he podido encontrar. Soy médico y es estupendo encontrar profesionales como la Dra. Carles. ¡Gracias!
Anabelle Chinea
alternative
Me rellené los dientes porque los tenía pequeños y separados y ahora tengo una sonrisa de revista. Lo recomiendo totalmente.
Paula
Abrir en YouTube ver en YouTube
alternative
Rating
Dar las gracias a Eva y todo su equipo, por quitar el miedo al dentista a mi hijo pequeño… gracias a Eva, ya tiene boca arreglada.
Miguel García Solla
Abrir en Google Maps ver reseña
alternative
Estoy encantada con el trato recibido. Da gusto el cariño y la dedicación que ponen en su trabajo. Me he hecho el tratamiento con ellos de principio a fin y volvería a elegirles sin duda alguna.
Elena García
alternative
Contenta no... ¡lo siguiente! Siempre merece la pena estar bien.
Isabel
Abrir en YouTube ver en YouTube
alternative
El equipo de la Dra. Eva Carles es muy profesional. Siempre han demostrado estar actualizados en conocimientos y tecnología. Confío plenamente en ellos, en su criterio y su honestidad, porque para ellos siempre prevalece lo mejor para el paciente.
Raquel García
alternative
Estoy fráncamente satisfecha con el tratamiento de Invisalign. Me miro al espejo y creo que he recuperado una parte importante de mí y no ha reusltado tan largo como imaginaba.
Pilar Recuenco
Abrir en YouTube ver en YouTube
alternative
Me he hecho un diseño de sonrisa y es un gusto sonreir con la boca abierta y pensando que deslumbro. Agradezco mucho el trato, la paciencia, el cuidado, el cariño, la perfección y precisión de los doctores. Además del buen resultado, en todo momento me lo explicaron todo y me hicieron sentir muy bien.
José Carles
Abrir en YouTube ver en YouTube
alternative
Rating
Amabilidad, empatía y buenas profesionales.
Elena Sanandres
Abrir en Google Maps ver reseña

Nuestro Equipo

Afortunados de tener un equipo en constante formación, dedicados a conseguir el bienestar de nuestros pacientes

TRATAMIENTOS

Abarcamos todas las áreas del cuidado bucodental

Ortodoncia Invisible

Ortodoncia Invisible

Mediante alineadores plásticos se corrigen todos los problemas oclusales en niños, adolescentes y adultos. Todo se elabora y planifica con el escaner intraoral mas puntero del mercado actualmente.

  • Invisible: prácticamente no se ve
  • Cómoda: removible y suave
  • Predecible: permite planificar el objetivo de tratamiento
  • Higienico: permite retirar el aparato para comer y limpiar
  • Sin urgencias

Somos Invisalign Providers desde 2006.

Ortodoncia Invisible

Antes y después
Ortodoncia Invisible

Diseño de sonrisa

Diseño de Sonrisa

Tratamiento puntero en el que conocerás los resultados antes de iniciar el tratamiento

  • Estudio personalizado
  • Escáner Intraoral
  • Sesión fotográfica de estudio
  • Planificación de resultados con el tratamiento
  • Acabado con Ácido Hialurónico en labios y perfil
(DSD) Diseño de Sonrisa Digital

Antes y después
Diseño de Sonrisa Digital

Estética dental

Estética Dental

La estética dental es la parte de la odontología especializada en todos aquellos tratamientos que se llevan a cabo para mejorar la forma, el tamaño, posición y textura de los dientes. Los tratatamientos mas solicitados son:

Blanqueamiento dental:

El blanqueamiento dental busca mejorar la apariencia de los dientes reduciendo las manchas y aclarando el tono de los dientes. Existen multiples opciones (clínica, ambulatorio y combinado) y se personalizan en función de cada caso.

Cirgugía estética de encias:

Las encias “enmarcan” nuestros dientes. Por lo tanto una correcta proporción en las mismas es necesario para conseguir la mejor de las sonrisas. Se engloban aquí los tratamientos que regularizan el nivel de encía ya sea reponiendo en aquellas zonas que falta o reduciendo en aquellos que sobra consiguiendo un resultado natural y muy estético.

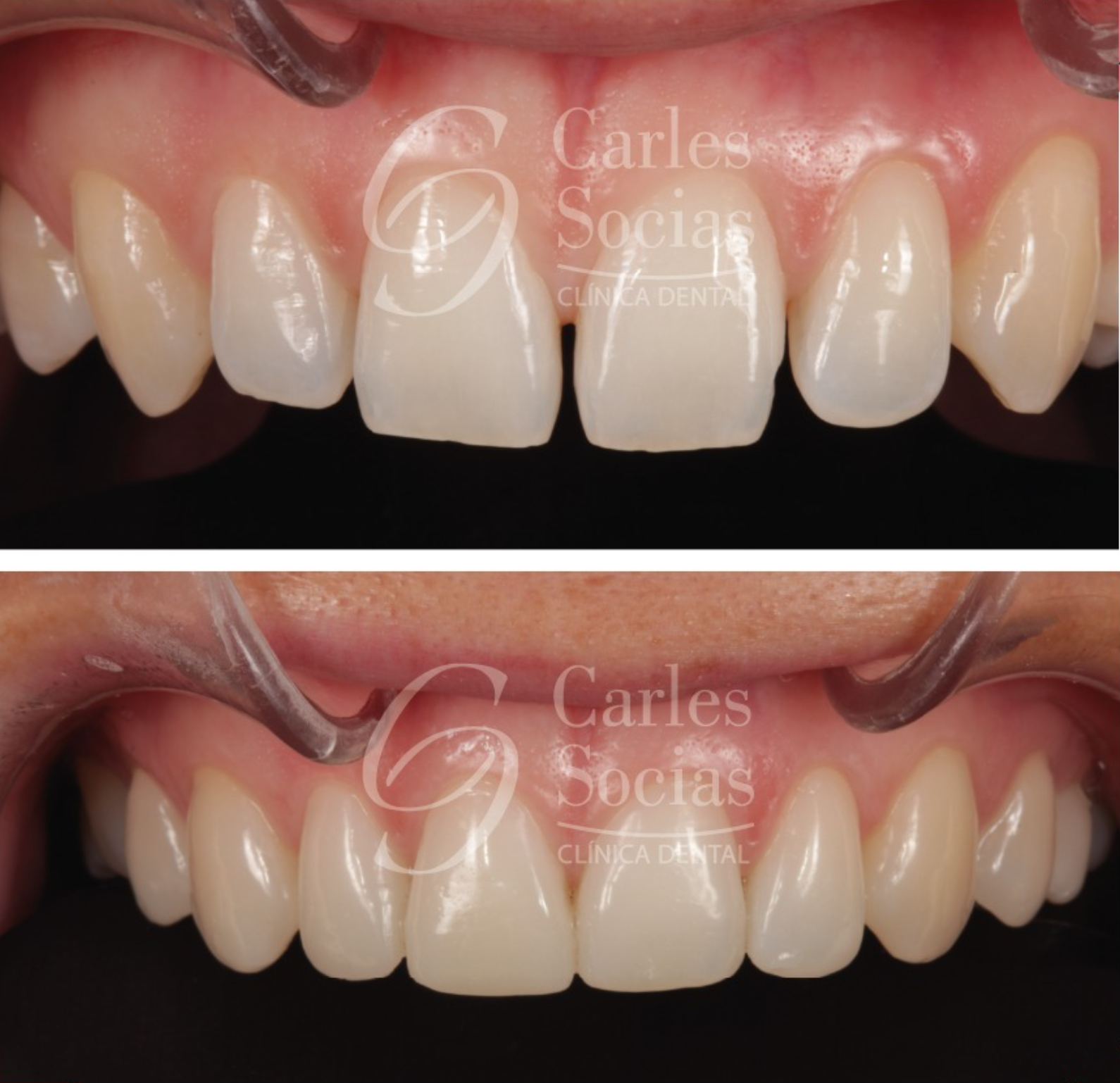
Carillas dentales:

Las carillas son láminas que cubren la parte visible de los dientes y permites cambiar su apariencia en posición, tamaño, color o textura. Las carillas hoy en día pueden ser tan delgadas como una lente de contacto, permitiéndonos ser ultra conservadores con tus dientes. Disponemos de diferentes tipos de carillas dependiendo del caso de cada paciente y están elaboradas de distintos materiales

Carillas Dentales

Antes y después
Carillas Dentales

Implantes

Implantes

Se trata de una solución para reponer los dientes perdidos ya sea por traumatismos, caries o enfermedad periodontal.

Un implante es un "tornillo de titanio" que se introduce en el hueso maxilar sobre el cual se colocarán posteriormente coronas o prótesis que sustituyen en aspecto y funcionalidad el diente perdido.

Utilizamos técnicas de diagnóstico avanzadas y equipo humano cualificado para un resultado de éxito (incluso en los casos mas complejos).

Las ventajas de los implantes son:

  • recuperan la funcionalidad de la cavidad oral
  • permiten hablar y pronunciar sin dificultades
  • permiten una correcta masticación y por ello una mejor digestión
  • permite recuperar la sonrisa
  • son cómodos
  • son duraderos con un buen cuidado
  • mejor fijación de las prótesis

Utilizamos los mejores implantes del sector para asegurar una mayor duración, facilidad, comodidad y sin dolor.

Medicina estética

Medicina Estética
Sonrisa gingival

Creemos firmemente en el tratamiento global de la sonrisa de nuestros pacientes y esta se engloba en dentro de la estética facial. Disponemos de médico estético en la consulta lo que permite tratar todo aquellos aspectos necesarios para conseguir ser “arquitectos de sonrisas” y mejoremos todos aquellos aspectos que nos acomplejan o afean. El doctor hace una minuciosa valoración de cada caso dependiendo de las proporciones faciales de cada paciente y escuchando sus inquietudes planifica y consensua el plan de tratamiento ideal para cada caso.

Los tratamientos mas demandados son:

Ácido hialurónico:

Es una sustancia presente en nuestro cuerpo. Permite generar volumen y mejora el aspecto de nuestra piel. Se puede aplicar en distintas zonas: labios, código de barras, líneas de marioneta, marcación mandibular, mentón, surco nasogeniano, pómulos, ojeras. Tiene un efecto reversible

Mesoterapia:

Es una técnica médica que consiste en la microinfiltración de fármacos u otros principios activos en las capas profundas de la piel y permite mostrar una piel mas firme, densa, fresca y rejuvenecida.

Hilos tensores:

Se emplean para la recuperación del óvalo de la cara, eliminar arrugas o reafirmar la piel facial. Se trata de un tratamiento médico, no quirúrgico y reversible.

Neuromoduladores:

Mediante la infiltración de tóxina botulínica el tratamiento consiste en minimizar la contracción muscular reduciendo así la aparición y formación de arrugas pero conservando la expresión facial. Esta indicado para tratar o prevenir las arrugas de frente, entrecejo y patas de gallo. Además se utiliza para tratar el bruxismo.

Odontopediatría

Odontopediaría

La odontopediatría es la rama de la odontología que se ocupa de la salud bucodental de los más pequeños de la casa. En nuestra clínica somos especialistas en tratamientos de niños y adolescentes adaptándonos a las necesidades de los más pequeños. Intentamos hacer las consultas divertidas, sencillas, amenas y efectivas.

Las consultas incluyen:

  • Revisiones completas
  • Escaneado Intraoral para la detección de caries sin dolor ni radiación
  • Diagnóstico temprano de maloclusiones
  • Coordinación con logopedas, pediatras y otorrinos para tratar a los niños de forma global y coordinada

Preguntas frecuentes

1¿Cómo puedo pedir cita?
Llamando al 913440922 ó al 638137669, escribiéndonos un correo electrónico a info@clinicacarlesocias.es o incluso por WhatsApp
Si, en la consulta se atienden todas las especialidades (endodoncia, periodoncia, odontopediatría, ortodoncia, estética: blanqueamientos/carillas, implantes, cirugía, prótesis)
De lunes a viernes de 10:00 a 20:00 y los sábados de 10:00 a 14:00
Si, tanto la finca como la consulta esta adaptada. Además el baño dispone de mueble cambiador
La parada de metro es COLOMBIA (lineas 8 y 9), autobuses 16-29-51-7-87-11-40, parking público (Indigo Park) en la plaza de la República Dominicana
Los tratamientos se pueden abonar mediante efectivo, tarjeta, trasferencia y existe facilidad de pago
Los doctores hablan inglés además de español
CONTACTO

Ponte en contacto con nosotros

También puedes usar el formulario si tienes alguna pregunta o quieres pedir cita.

He leído y acepto las condiciones
Acepto el envío de información comercial sobre promociones, productos y servicios ofrecidos por Clínica Carles Socias S.L.P.